В Подмосковье хирурги Луховицкой больницы спасали мужчину, у которого кишечник оказался проткнут рыбьей костью. Подробности этой истории 7 марта сообщает Минздрав Московской области.

К врачам 64-летний местный житель обратился с болями в правом подреберье. После обследования выяснилось, что стенку толстой кишки у мужчины проткнуло «инородное тело костной плотности».
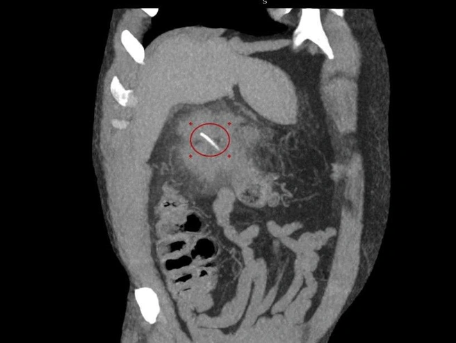
«Оказалось, что рыбья кость около трех сантиметров длиной проделала отверстие в стенке толстой кишки мужчины в области печени», — уточнил заведующий хирургическим отделением Луховицкой больницы Илья Луньков. Он подчеркнул, что пациенту требовалась срочная помощь медиков.
Была проведена КТ-диагностика, после которой врачи вскрыли абсцесс и удалили гной.
Выяснилось, что мужчина — заядлый рыбак. Примерно месяц назад он приготовил и съел рыбу, которую сам выловил. То, что он проглотил кость, сразу не заметил. Только через некоторое время почувствовал боли в подреберье. Сначала мужчина терпел их, но позже обратился за помощью.
Хотите больше быстрых новостей — подписывайтесь на наш официальный телеграм-канал «Фонтанка SPB online». Прямо сейчас там проходит розыгрыш айфонов и смарт-часов.












